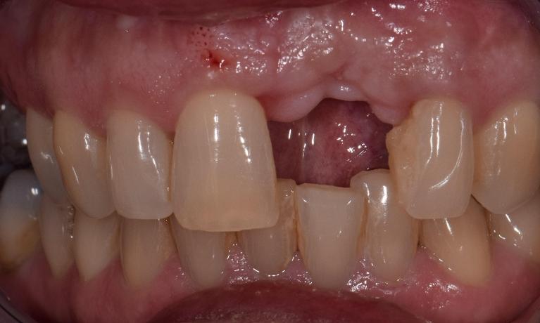
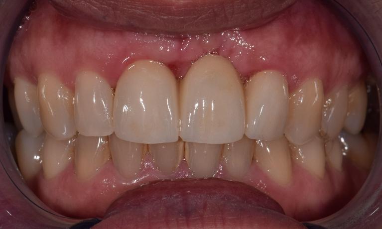
If you avoid showing your smile because you aren’t happy with the way it looks, this can impact your overall wellbeing—as well as those around you. Cosmetic dental procedures today are more affordable than ever, and they can give you a smile you love to show everyone.
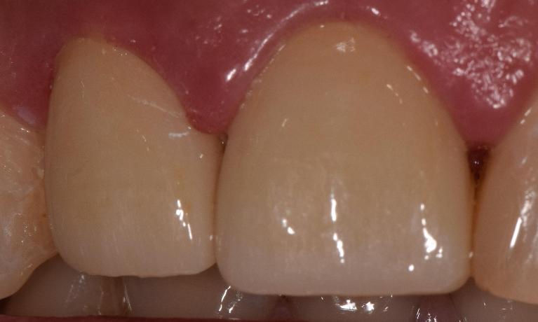
At Modern Dentistry of St. Cloud, Dr. Yang Hua uses his artistic and scientific skills to give our patients something to smile about! See for yourself in our smile gallery.
Smile Gallery Categories
 
 
 
 
 
 
 
 
 
 
 
 
 
 
 
 
 
 
 
