Dental Crowns & Bridges in St. Cloud, FL
If you have missing or damaged teeth, you might feel self-conscious about showing off your smile. When you avoid smiling, this can negatively impact your entire mood, and it can even cause people around you to form judgments that may not be accurate.
You might not also realize that if you have missing teeth, feeling embarrassed about it is only part of the problem. You might be putting your healthy teeth at risk if you don’t fill in the gap that has been left behind.
You don’t have to live with missing or damaged teeth; there are simple but permanent solutions available at your local, family dental office. Talk to Dr. Yang Hua of Modern Dentistry of St. Cloud to find out how dental crowns or bridges can repair your teeth so you can smile with confidence again.
You can also read through the headlines below to learn more.
- Dental Crowns in St. Cloud, FL to Replace Damaged Teeth
- Types of Dental Crowns
- Replace Gaps in Your Smile with Dental Bridges
- Types of Dental Bridges
- How to Care for Crowns and Bridges
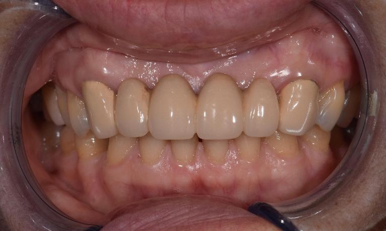
Dental Crowns in St. Cloud, FL to Replace Damaged Teeth
One of the most common uses for dental crowns is to repair a molar that has a substantial filling in it. Fillings don’t last forever; eventually, they might fracture or separate from the tooth. As a result, bacteria can accumulate in that space, creating a host of other issues—unless it is repaired.
Because the initial decay was already significant, much of the tooth has already been removed to make room for the filling. There just isn’t enough tooth structure left for a new filling. A dental crown “caps” the damaged tooth after the old filling has been removed. A dental crown, which is made to match your other teeth, looks completely natural and will protect the remaining tooth structure for years to come.
Other uses for dental crowns include strengthening the tooth’s structure after root canal therapy. Because the procedure involves removing the pulp of the tooth, the remaining tooth can become brittle. A dental crown makes the tooth more durable, allowing you to chew and speak normally and without pain.
Although dental crowns are typically used to repair damaged teeth, they can also mitigate cosmetic concerns. If your teeth are severely discolored and need a little extra TLC, dental crowns can be used to brighten your smile.
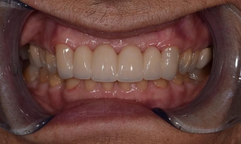
Types of Dental Crowns
Dental crowns can be made from various materials, including porcelain, zirconia, ceramic, metal, or composite resin. Sometimes, dental crowns are made from various materials, depending on the patient’s unique needs. For example, a patient can have a porcelain crown fused to metal or an all-porcelain crown. Dr. Hua will take your personal preference into account when developing your comprehensive treatment plan. Depending on your needs, Dr. Hua may do your procedure all at once or over several days. The basics of the procedure are essentially the same. First, Dr. Hua will identify the source of discomfort and open the cavity. He will then trim the tooth to create a base for the crown. Finally, he will place the crown on top of the base, restoring your smile to its former glory.
Replace Gaps in Your Smile with Dental Bridges
If you are missing one or a few teeth, it might be tempting just to let it go, particularly if the gap in your smile is in the back of your mouth where it might not be as noticeable. Your instinct may be to simply ignore it, but the risks associated with tooth loss isn’t worth it!
But the problem with not filling in the space left by missing teeth is that you are putting your healthy teeth at risk. When there is a space in your mouth, your remaining teeth will begin to shift. Eventually, your bite will be off, and you will start putting undue wear on your teeth. This can ultimately lead to the loss of even more teeth.
A dental bridge is a permanent replacement connected to two crowns placed on those teeth adjacent to the space. The prosthetic teeth on the bridge are made to look like your natural teeth, so it seamlessly blends. This permanent solution means you can chew and speak normally—and you are protecting your remaining teeth.
Types of Dental Bridges
There are four types of dental bridges from which you can choose: traditional, cantilever, Maryland, and implant-supported. Together, you and Dr. Hua can discuss which of these options are the best and safest for your treatment.
Traditional bridge – A traditional dental bridge is by far the most popular and the least complicated. A traditional bridge consists of one or more prosthetic teeth (pontics) secured by dental crowns (abutments). The abutments are cemented onto the remaining natural teeth that are adjacent to the missing tooth. To prepare the adjacent teeth, your dentist must remove some of the enamel from your remaining teeth. This ensures there’s enough room for the crowns that will be cemented on top of the teeth. Enamel doesn’t grow back, so these teeth will always need to be protected by dental crowns.
Cantilever bridge – A cantilever dental bridge in St. Cloud, FL is similar to a traditional bridge, with one exception: an abutment only supports the pontics on one side instead of both sides. If there’s only one natural tooth, the cantilever bridge can still work. To ensure the bridge is supported, your dentist must prepare your natural tooth by removing its enamel.
Maryland, or resin-bonded bridge – A Maryland bridge is held in place by a pontic on a metal or porcelain framework. This framework is bonded to the backs of the teeth adjacent to the missing tooth. Because Maryland bridges are secured with crowns, the adjacent teeth don’t require enamel removal as traditional and cantilever bridges do.
Implant-supported bridge – An implant-supported bridge in St. Cloud, FL is supported by dental implants, providing more sturdy support than some of the other bridge options. Implant-supported bridges require two surgeries to place the implants, so it can take several months to reap the benefits of the final product. The first surgery places the implants in your jaw, and the second surgery places the bridge. The implants secure the bridge, so implant-supported bridges look, feel, and function just like natural teeth.
How to Care for Crowns and Bridges
Depending on your treatment plan, Dr. Hua will provide you with specific instructions on caring for your dental crowns or dental bridges. However, one thing is certain: brushing and flossing are a must to maintain a healthy smile. We recommend brushing at least twice daily with fluoride toothpaste and flossing at least once daily. Brushing and flossing are preventive measures you can take to protect yourself from plaque buildup, cavities, tooth decay, and gum disease.
In addition to brushing and flossing, you must visit your dentist every six to 12 months. Your dentist will be able to identify any potential issues by using x-rays, teeth cleanings, and comprehensive dental exams. Practicing at-home dental care and visiting your dentist regularly will help you achieve optimum oral health.
Contact Our St. Cloud Dentist Office Today!
Dr. Hua can close the gaps in your smile with dental crowns or dental bridges in St. Cloud. With so many options available, you can feel confident that your dentist has an appropriate solution for your missing or damaged teeth. Give yourself something to smile about—and protect your teeth—by repairing your smile with a dental crown or bridge. Talk to Dr. Hua today about a treatment plan for dental crowns in St. Cloud!

doing so. The problem with simply taking a problem tooth out is that losing a tooth risks the health of your other teeth as well as your jawbone.